Skip to content
Prodrive logo Home

Advanced Cameras

Rich text

  • placeholder.webp

    Custom sensor integration

    Integration expertise of most innovative area-, line- and e-beam sensors

  • placeholder.webp

    Custom sensor integration

    Integration expertise of most innovative area-, line- and e-beam sensors

  • placeholder.webp

    Custom sensor integration

    Integration expertise of most innovative area-, line- and e-beam sensors

  • placeholder.webp

    Custom sensor integration

    Integration expertise of most innovative area-, line- and e-beam sensors

Products.jpg

A title

‘There is always space ahead of the field’, which inspires us every day when creating meaningful imaging technologies that push the boundaries of resolution and speed.

At Prodrive Technologies, we develop and manufacture customized and off-the-shelf advanced camera solutions. Our approach is to take responsibility for end-to-end imaging solutions that start by creating an imaging sensor to offer an exceptional combination of pixel resolution, speed, and sensitivity.

We design high-bandwidth electronics to utilize the sensor and offer the processing hardware to deliver the camera data to the computer’s memory for further processing.​ This unique approach helps our customers to advance in their next-generation imaging system.

Products

Application areas

Our solutions cover a wide field of applications including multi-electron beam, X-ray, DUV, visible light, and infrared imaging

  • DNA sequencing

    DNA sequencing
  • Flat panel display

    Flat panel display
  • PCB inspection

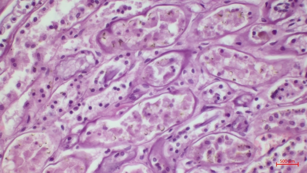
  • Digital pathology & biotechnology

    Digital pathology & biotechnology
  • Wafer Metrology

    Wafer Metrology

Markets & industries

  • Semiconductor

    Icon-6.png

    Comprehensive solutions for computing, power conversion, motion & mechatronics, imaging & sensing systems and controls

  • Medical & life sciences

    Icon-7.png

    Interventional radiology and patient monitoring

  • Flat panel display

    Icon-8.png

    Components and solutions for LED, LCD, DLP, plasma and LCD displays

    Home